誰家小孩跑錯家!
最近消失的很徹底,每天關在家,連朋友LINE群都不太看到我發言 其實我是有說不出的苦啊....
發現的時候,心中真的有說不出的哀怨與怒氣還狠狠罵了老公一頓,罵他都沒有仔細考慮清楚就擅自不做避孕措施(因為他覺得可以生老三了)
老公一直都希望能有三個孩子,我也不是說堅持不要老三
但就覺得現在拉拉還小還在喝奶,眼看才快要脫離照顧嬰兒的苦命期
雖然發現他沒避的時候有小念但不是太往心裡去,畢竟離危險期還有幾天,真的沒有料到會這麼衰
因為拉拉一直都很頻繁餵母奶,賀爾蒙跟夜奶次數影響,我們將近一年來,真的就那麼一次!
怎麼都不會想到居然會一次就衰到啊!
(畢竟之前我們也曾因為懷不上看過中西醫,也曾被醫生懷疑習慣性流產)
才剛開機,就又得關機!這是多令人哀怨的事情!

鼻子變得異常靈敏,平常沒聞到的味道全跑出來了,
雖然沒有吃什麼都吐,但聞到什麼都想吐乾嘔,吃到什麼都走味也是很痛苦
沒有真的乾嘔的時候,也必須一直忍耐著一股胃酸想吐的不適
最會乾嘔的事卻是怎麼也逃不掉的,如幫拉拉換尿布,以及洗澡洗臉(到底為什麼洗澡會吐阿Orz)
臉上長滿了痘痘,化妝都蓋不掉,整個醜到不想照鏡子不想見人
身體的疲累感也超逼人,每天都是無力的癱在沙發,連話都沒力氣說,卻不能去躺下休息
拉拉還時不時的要拉我起來陪她玩,幫她拿東西
早上還好,吃過中飯開始不舒服,趕快陪午睡,晚餐時間後體力已經完全耗盡
但這段時間,卻必須要一打二到晚上十點十一點,老公才會回家接手
當我已經非常不舒服,無力的癱在沙發上,兩個孩子還不斷出狀況題要我處理
一下是不吃飯,一下是打翻東西,一下是搶玩具打架哭鬧
有時老公回家,還會怪我"在家都在幹嘛!為什麼沒有XXXX(自行帶入家裡很亂衣服沒洗沒曬之類的)
似乎不記得自己老婆現在是孕婦這件事情...
曾經有一次,實在太累太崩潰,忍不住對著又搗蛋要我收拾的孩子尖叫
也好幾次,閉著眼縮在沙發上或蒙在被子裡掉淚,想乾脆從頂樓跳下去就什麼煩惱痛苦都沒有了
對這個突如其來的孩子,也有好多好多怨
怨她帶來的不適之外,也將最近所有的不順遂通通怪在她帶賽
原本已經規劃好想回職場,面試沒上後發現懷孕,就怪在是她故意不讓我去工作
兩年沒染燙的頭髮,都已經得到了髮廊的合作案,也不得不打去跟人家道歉無法合作
(天知道我有多~~~想~~~~弄頭髮!)
還有好多好多衰事發生,我都忍不住會認為是她害的
因為爸爸想要,但媽媽心裡偷偷不想要她,做了很多孕婦不宜的事情
例如跑八百公尺追卡比獸,雨天用背巾背拉拉去接哥哥下課,葉酸一直拖到10周才開始吃
還跑去玩樂事真人夾娃娃機,吊在半空中抓樂事
想著自己有連續流產三次的紀錄,哪那麼容易就過三個月這個關卡
沒想到10周多的產檢,她安安穩穩的待在肚子裡,還不斷的對著我揮手扭腰

這一刻我才真的比較認命接受,我真的要當三寶媽了
也跟兩邊家人公布了懷孕的事情,結果每個聽到的人第一句都是"所以你要生嗎"
(雖然前面負面情緒那麼多,但我還真沒有拿掉他的勇氣耶)

是因為我以前都在大醫院的關係,還是一年多變遷這麼大?!哪來那麼多檢查項目啊?!
不知道我說除了健保補助的其他通通不做,會不會被擺臉色@@

但這次的營養師諮詢,就講的超級仔細,也沒有推銷產品,還幫我分析我在吃的營養品,以及日常飲食調整

心情有比較好了,但煩惱還是好多好多,
車子這麼小,怎麼擠下三台汽座?若是要換車哪來的錢?
生產時兩個小孩該怎麼辦?婆家年紀大娘家身體不好,我自己在醫院都要人顧了,誰有辦法幫我一打二?!
坐月子又該怎麼辦?去月子中心?那拉拉呢?送幼稚園臨托?兩邊開銷加起來也是十幾二十萬,哪來的錢?
請月子婆?家裡沒有多的房間,沒辦法請24小時,那我不就半夜要自己顧?
(當初生拉拉,我前10天根本都不太能下床,拉拉都是再嬰兒室的)
根本不可能奢望老公幫忙!當初生拉拉在家坐月子10天,老公半夜從沒起來過
更何況他已經講他要陪兩個睡了,沒辦法再顧第三個
而且拉拉不送去臨托,她也不可能要月子婆陪她,一定找我啊!那我不就白天不能休息,晚上也不能休息?!
這些問題,在我提起前,老公完全都沒想過!(沒想過還敢擅自決定要生老三!)
即使我提了,他好像也不太煩惱,好像這些都是我自己的問題
甚至還一直希望不要把拉拉送幼稚園,要我在家自己帶兩個
對於未來好多的不確定充滿恐懼,到底那些一打二的全職媽媽怎麼辦到的?那些三寶媽怎麼辦到的?

所以原本預約黃貴帥醫師特別診就不需要,直接給門診的陳志堯醫師做就可以
第一次見陳醫師,陳醫師的幽默健談,讓我心情變得還不錯
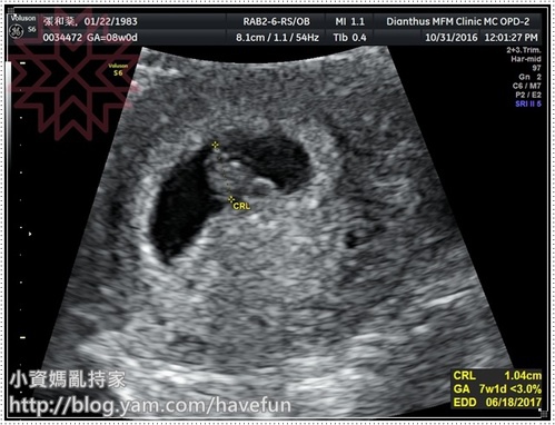
因為滿三個月,禾馨機器很清楚,應該可以看到性別(想當初老大在三總可是6個月才看到鳥阿)
因為一進門我們就在聊看不看的到性別,陳醫師一坐下來,就特別先幫我照寶寶的屁股,
還說"你先告訴我你想要男生女生", 我回答後,才告訴我答案
之後也很細心的幫我照了寶寶的手腳,還數了五根指頭,也看了腦部,耳朵鼻子
不得不說,禾馨的機器真的超級清楚啊!我之前在三總三個月的超音波根本只是一團白霧嘛!
自費項目才會檢查的子宮動脈血流(檢查子癲前症),陳醫師也特別幫我做了
因為跟陳醫師聊得太開心,害我有點猶豫要繼續給黃醫師產檢還是改給陳醫師產檢呢?
前兩胎,都會有很多花絮照,抽血量體重等等,但這胎完全沒辦法了,只能整篇文章都超音波了
每次產檢全家總動員,爸爸帶兩個到旁邊遊戲室邊玩邊等,根本沒辦法每個環節參與到
今天還為了幫兩隻買餅乾,差點連超音波都錯過了
會不會生產的時候,也沒辦法進來錄生產影片阿....

錢花下去大家都省事,但是就算現在老公同意,到時付錢還是會靠背
就像當初生拉拉,我出月子中心時,他覺得付太多錢了希望我取消月子餐
明明月子中心20天+月子餐10天是他同意的
但是不花這些錢,不就等於要犧牲我嗎?!
欸....到底生三寶以上的媽媽們都怎麼辦到的?!
喜歡我的文章嗎?快快來粉絲團幫我按讚吧!


留言
張貼留言