23W3D 高層次超音波檢查
懷孕後~開始了解一些相關的檢查
就一直很掙扎到底要不要做高層次
(我心裡是想做的~但就是要不斷說服老公做這個的必要性)
轉到三總產檢後~就問了醫生是否有必要
(當然是肯定的~因為我的產檢醫生就三總專門做高層次的醫生阿)
因此在16周產檢就先跟衛教師預約高層次的時間
自以為16周約20周做算很早約~沒想到居然整個排滿到我23周時才有空的時間@@
奉勸要做高層次的最好滿三個月就快點預約阿
我很準時到達~不過實習醫生卻一時找不到蘇醫師(據說是去巡房了)
後來等蘇醫師來了以後....四位實習醫師兩男兩女圍繞著我沒有要出去的樣子@@整個超害羞
蘇醫師雖然是我的主治醫師~不過可能病人太多了沒有認出我
先問了我的預產期 以及之前超音波師有沒有告訴我性別
我說之前產檢超音波師說是女生~蘇醫師表示今天也會再幫我看一次
20周產檢說有看到3條線是女生後~過去常聽到我應該是懷男生的言論不再聽到了
反而不少人看到我說"你氣色變好好喔~是懷女生對不對"
我很開心可以點頭大聲說"對呀!醫生說有三條線是女生"
某次老公在洗車時隔壁鄰居跑來問性別~老公也自然回答是女生~
無聊鄰居居然說"女生很好阿~姊姊可以照顧弟弟" 讓我聽了整個很火大
我的寶貝女兒不是生來照顧人的!她是小公主!
還買了很可愛的粉紅色立體小蘋果襪子...每天都拿出來把玩~要老公想像小公主穿著小蘋果的可愛模樣

本來以為20W被說是女生一定很穩當了...週數那麼大了不可能翻盤
但蘇醫師才把超音波儀放上我肚子~剛好正對著寶貝的屁股....開始疑惑怎麼可能之前產檢說是女生...
我當場發出哀嚎....還不斷要求醫生確認不是手指頭之類的想誤導她娘
醫生在一開始跟最後都各幫我照了一次~確認真的是男生......我被翻盤了Orz
甚至連旁邊的男實習醫生都開始安慰我~男生也可以穿粉紅色啦~~~
只是一個月來一直幻想抱著女兒念故事書~小女孩跟老公撒嬌的樣子
現在每天叫的妹妹不見了....就好像被偷走了一樣...回家路上還忍不住在公車上掉了眼淚
一直在想是不是前兩天去參加媽媽教室時~被一個剛懷孕的朋友摸了肚子~所以被換肚換走了
整個過程蘇醫生看得很仔細~也不時停下來講解給旁邊的實習醫生聽
不過好多專有名詞我們聽不懂~有時還會打斷一下請醫師解釋白話一點XD
整體來說~~我們每個部位都有聽到關鍵字"正常"就OK囉^^
檢查完時~實習醫生問了北鼻到底現在的整個身體的狀況位置在媽媽肚子裡是什麼樣子
(聽到才忽然驚覺:對吼~每次都只看到螢幕晃來晃去~沒有搞懂過到底他是什麼姿勢哩)
醫生因此開始從北鼻的頭開始慢慢帶到腳講解一遍
原來北鼻的頭在我肚臍的左上方的位置~面向我的右手方向
然後探頭繼續沿著身體往下走~到北鼻的屁股~剛剛好坐在我的子宮頸口附近(約我的肚臍正下方恥骨的地方)
探頭繼續從我的右邊肚子繞上來~是北鼻兩腿伸直且有一點點交叉
因此北鼻的整個右半邊是靠我的背部方向(超音波螢幕的下方)
左半邊是靠我肚皮的方向(超音波螢幕的上方)
所以由此來判斷現在照的是左邊還是右邊的器官
後來醫生拜託我讓旁邊的實習醫生練習照一下
我當然不介意看自己的寶貝久一點囉^^
我還開玩笑的跟醫生說"每個孕婦家裡真該自備一台~可以看寶貝踢出來的是手還是腳"
醫生很幽默的回我"當然可以啊!有300萬就可以啦!"
整個高層次超音波結束後~原本要一個禮拜後才能拿報告
但因為我的產檢時間剛好是當週六~因此蘇醫師說會趕給我讓我不用另外跑一趟



做過高層次超音波後~整個有放心很多
之前老公老覺得三總的超音波師照得很不專業
這次給蘇醫師幫寶貝做過總檢查確定一切都正常老公總算放心了
(不知道性別翻盤這件事是否間接證明了老公說那超音波師很兩光這句話XD)
就一直很掙扎到底要不要做高層次
(我心裡是想做的~但就是要不斷說服老公做這個的必要性)
轉到三總產檢後~就問了醫生是否有必要
(當然是肯定的~因為我的產檢醫生就三總專門做高層次的醫生阿)
因此在16周產檢就先跟衛教師預約高層次的時間
自以為16周約20周做算很早約~沒想到居然整個排滿到我23周時才有空的時間@@
奉勸要做高層次的最好滿三個月就快點預約阿

後來等蘇醫師來了以後....四位實習醫師兩男兩女圍繞著我沒有要出去的樣子@@整個超害羞
蘇醫師雖然是我的主治醫師~不過可能病人太多了沒有認出我
先問了我的預產期 以及之前超音波師有沒有告訴我性別
我說之前產檢超音波師說是女生~蘇醫師表示今天也會再幫我看一次
20周產檢說有看到3條線是女生後~過去常聽到我應該是懷男生的言論不再聽到了
反而不少人看到我說"你氣色變好好喔~是懷女生對不對"
我很開心可以點頭大聲說"對呀!醫生說有三條線是女生"
某次老公在洗車時隔壁鄰居跑來問性別~老公也自然回答是女生~
無聊鄰居居然說"女生很好阿~姊姊可以照顧弟弟" 讓我聽了整個很火大
我的寶貝女兒不是生來照顧人的!她是小公主!
還買了很可愛的粉紅色立體小蘋果襪子...每天都拿出來把玩~要老公想像小公主穿著小蘋果的可愛模樣

本來以為20W被說是女生一定很穩當了...週數那麼大了不可能翻盤
但蘇醫師才把超音波儀放上我肚子~剛好正對著寶貝的屁股....開始疑惑怎麼可能之前產檢說是女生...
我當場發出哀嚎....還不斷要求醫生確認不是手指頭之類的想誤導她娘
醫生在一開始跟最後都各幫我照了一次~確認真的是男生......我被翻盤了Orz
甚至連旁邊的男實習醫生都開始安慰我~男生也可以穿粉紅色啦~~~
只是一個月來一直幻想抱著女兒念故事書~小女孩跟老公撒嬌的樣子
現在每天叫的妹妹不見了....就好像被偷走了一樣...回家路上還忍不住在公車上掉了眼淚
一直在想是不是前兩天去參加媽媽教室時~被一個剛懷孕的朋友摸了肚子~所以被換肚換走了
不過好多專有名詞我們聽不懂~有時還會打斷一下請醫師解釋白話一點XD
整體來說~~我們每個部位都有聽到關鍵字"正常"就OK囉^^
檢查完時~實習醫生問了北鼻到底現在的整個身體的狀況位置在媽媽肚子裡是什麼樣子
(聽到才忽然驚覺:對吼~每次都只看到螢幕晃來晃去~沒有搞懂過到底他是什麼姿勢哩)
醫生因此開始從北鼻的頭開始慢慢帶到腳講解一遍
原來北鼻的頭在我肚臍的左上方的位置~面向我的右手方向
然後探頭繼續沿著身體往下走~到北鼻的屁股~剛剛好坐在我的子宮頸口附近(約我的肚臍正下方恥骨的地方)
探頭繼續從我的右邊肚子繞上來~是北鼻兩腿伸直且有一點點交叉
因此北鼻的整個右半邊是靠我的背部方向(超音波螢幕的下方)
左半邊是靠我肚皮的方向(超音波螢幕的上方)
所以由此來判斷現在照的是左邊還是右邊的器官
後來醫生拜託我讓旁邊的實習醫生練習照一下
我當然不介意看自己的寶貝久一點囉^^
我還開玩笑的跟醫生說"每個孕婦家裡真該自備一台~可以看寶貝踢出來的是手還是腳"
醫生很幽默的回我"當然可以啊!有300萬就可以啦!"
整個高層次超音波結束後~原本要一個禮拜後才能拿報告
但因為我的產檢時間剛好是當週六~因此蘇醫師說會趕給我讓我不用另外跑一趟
信封裡有一份全英文看龍某的紙本報告跟一張當天所有超音波靜態照片的光碟
我終於有超音波照片可以寫紀錄了
雖然之前問蘇醫師可不可錄影蘇醫師要我仔細聽比較重要
但我還是一躺下就把相機都傳好了~蘇醫師人很nice也沒有制止我拍攝囉
只是有時我太認真看大螢幕~沒注意到相機10分鐘自動停止啦>"< 好多地方沒錄到
也幸好大部分有錄~回家看超音波照片可以回顧蘇醫師講解~不然還真是看巄無
我終於有超音波照片可以寫紀錄了
雖然之前問蘇醫師可不可錄影蘇醫師要我仔細聽比較重要
但我還是一躺下就把相機都傳好了~蘇醫師人很nice也沒有制止我拍攝囉
只是有時我太認真看大螢幕~沒注意到相機10分鐘自動停止啦>"< 好多地方沒錄到
也幸好大部分有錄~回家看超音波照片可以回顧蘇醫師講解~不然還真是看巄無

高層次超音波一定會量
但因為我一躺下就問有沒有量子宮頸長度
所以醫生就先幫我量了
長度是3.16cm~是正常的~說如果太厚的話以後會很難生(但沒告訴我怎樣是太薄)
不過為啥蘇醫師量我不覺得痛也不覺得有移動的很下面
但上次要求超音波師幫我量就把我弄得很痛咧
但因為我一躺下就問有沒有量子宮頸長度
所以醫生就先幫我量了
長度是3.16cm~是正常的~說如果太厚的話以後會很難生(但沒告訴我怎樣是太薄)
不過為啥蘇醫師量我不覺得痛也不覺得有移動的很下面
但上次要求超音波師幫我量就把我弄得很痛咧

大腿骨徑

右腳的腳掌(右圖)與五根腳趾頭(左圖)
腳是呈現往上踢我肚皮的角度喔(箭頭的地方是腳背)

右腳的腳掌(右圖)與五根腳趾頭(左圖)
腳是呈現往上踢我肚皮的角度喔(箭頭的地方是腳背)

左腳腳掌與五根腳趾頭~腳是往下踩低(箭頭為腳底板)

左右腳來合照一張

膀胱~醫生說裡面有尿尿~表示腎臟功能正常喔

胃


中間還看了肝臟還有腸子(但沒有拍照片給我)
目前腸子蠕動不明顯~是萎縮的狀態~要等到30週以後才會開始蠕動且有腸氣
肺臟也是萎縮的~還沒有開始作用
醫生用箭頭標出的那條是橫膈膜喔! 橫膈膜如果有破洞出生後會死亡~所以一定要看哩


主動脈的血流狀況
箭頭指的地方是心室中膈~左右心房中間正常沒有破洞
左右心室中間有一個開口等出生之後會自己合起來
紅色的是從心房打到心室的血流
這邊要注意如果紅色中間有藍色的就表示可能有逆流的狀況
這邊醫生看很仔細~因為容易跟主動脈的藍色血流搞混~確定沒有逆流破洞~而且2進2出~正常!











左邊的手臂(上臂跟下臂都有量喔)

右手手臂(上臂跟下臂)

左右腳有合照~左右手當然也要來合照一張囉
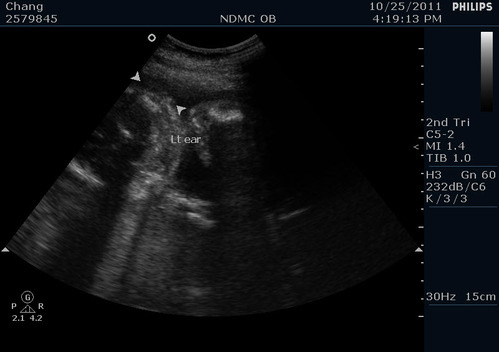
右邊的耳朵







以下是不知所云的總報告



左邊跟右邊的腎臟~醫生用箭頭圈起來的地方(可我看不出來@@)

拍這張的時候我沒注意到相機停止錄影了~現在根本看不懂是啥>"<
查單字似乎是跟腎臟有關?
查單字似乎是跟腎臟有關?

目前腸子蠕動不明顯~是萎縮的狀態~要等到30週以後才會開始蠕動且有腸氣
肺臟也是萎縮的~還沒有開始作用
醫生用箭頭標出的那條是橫膈膜喔! 橫膈膜如果有破洞出生後會死亡~所以一定要看哩

心臟的四個心室~心臟偏左~左右兩邊差不多大
(中間指著心臟裡面的幾個地方嘀咕了幾個我沒聽懂的英文單字~大概是講給旁邊的實習生聽的)
(中間指著心臟裡面的幾個地方嘀咕了幾個我沒聽懂的英文單字~大概是講給旁邊的實習生聽的)

這裡醫生講話好小聲我沒聽懂~只聽到沒有問題

主動脈的血流狀況

箭頭指的地方是心室中膈~左右心房中間正常沒有破洞
左右心室中間有一個開口等出生之後會自己合起來
紅色的是從心房打到心室的血流
這邊要注意如果紅色中間有藍色的就表示可能有逆流的狀況
這邊醫生看很仔細~因為容易跟主動脈的藍色血流搞混~確定沒有逆流破洞~而且2進2出~正常!

這張是什麼我不知道~醫生沒講~我又看不懂~只知道好像還是在心臟附近

內部小圈是心臟的面積
外部大圈是胸腔的面積
兩個比不能超過1/2
我是5:13是1/3到1/2之間~說是有大一些但還可以接受
大圈的旁邊那兩個像翅膀的東西就是肺臟囉
中間又說了幾個英文說有些人可能會有XXXX的問題~但目前我的寶貝看起來沒有
外部大圈是胸腔的面積
兩個比不能超過1/2
我是5:13是1/3到1/2之間~說是有大一些但還可以接受
大圈的旁邊那兩個像翅膀的東西就是肺臟囉
中間又說了幾個英文說有些人可能會有XXXX的問題~但目前我的寶貝看起來沒有

心跳每分鐘158下~而且很規則沒有心律不整

接下來有一大段我又不小心沒錄到了~回家看圖都看不懂QQ





兩眼的眼距

左右眼的眼珠子

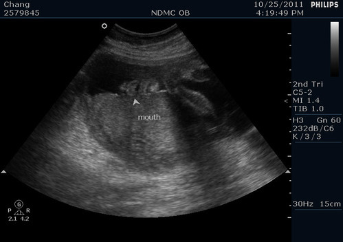
寶貝的豐唇!醫生說沒有兔唇喔! 寶貝全程都嘴開開睡覺啦~
而且醫生很可愛~還先看看我跟我老公後說小寶貝應該會像我比較多(因為我的嘴唇比我老公厚)
我回家一直很開心的說"幸好像媽媽~以後一定是花美男"
老公酸溜溜的說"哼~你有看過哪個偶像劇男主角是厚唇嗎~都馬是薄唇"
而且醫生很可愛~還先看看我跟我老公後說小寶貝應該會像我比較多(因為我的嘴唇比我老公厚)
我回家一直很開心的說"幸好像媽媽~以後一定是花美男"
老公酸溜溜的說"哼~你有看過哪個偶像劇男主角是厚唇嗎~都馬是薄唇"

寶貝的鼻子~跟兩個鼻孔XD


左邊的五根手指頭~因為有點握拳~所以要拍兩個角度才拍到五根


右手的五根手指頭
右手很不好拍醫生照了好久~因為剛好擺在我的肚臍下方探頭照不太到~還很可愛的抓著自己的左手哩
右手很不好拍醫生照了好久~因為剛好擺在我的肚臍下方探頭照不太到~還很可愛的抓著自己的左手哩


右邊的耳朵

左邊的耳朵
兩個耳朵大小高度都正常~沒有小耳症
兩個耳朵大小高度都正常~沒有小耳症

脊椎~但我不知道醫生標那四個字母的意思

臍帶內的三條血管

臍帶壓也正常喔

拍臍帶時發現DD的角度比一開始更好~
醫生還不忘拍張特寫給我....說實話這麼明顯真的好難再騙自己看錯阿
不過現在也很擔心....之前都沒照到~直到高層次才照到...會不會比人家小阿@@
醫生還不忘拍張特寫給我....說實話這麼明顯真的好難再騙自己看錯阿
不過現在也很擔心....之前都沒照到~直到高層次才照到...會不會比人家小阿@@

最後~量了羊水量~正常
北鼻的體重698克
北鼻的體重698克
對照生長曲線~北鼻的頭圍是正常的

但肚圍大了點...小小年紀就大肚楠怎麼辦喔=.=

大腿骨徑也是正常低

以下是不知所云的總報告


光碟中附了一大堆看不懂的英文數據電子檔
|
Estimated Fetal Weight
EFW(AC,BPD,FL)Hadl: | 698 grams +/- 63.0 grams AUA 60%tile Expected 65%tile |
EFW-NTUH: | 2.16 grams AUA <10%tile Expected <10%tile |
Gestational Age
+ GA(BPD)Hadlock: | 5.65 cm | 23w1d | +/-12d | |
+ GA(HC)Hadlock: | 22.0 cm | 24w0d | +/-11d | |
+ GA(AC)Hadlock: | 20.9 cm | 25w3d | +/-15d | |
+ GA(FL)Hadlock: | 4.11 cm | 23w2d | +/-13d | |
- GA(FL)Jeanty: | 4.11 cm | 23w3d | (21w2d - 25w5d) | |
- GA(FL)Tokyo: | 4.11 cm | 24w0d | ||
- GA(FL)Osaka: | 4.11 cm | 24w0d | ||
- GA(HL)Jeanty: | 3.84 cm | 23w4d | (20w4d - 26w1d) | |
+ GA(HL)Osaka: | 3.84 cm | 24w0d | ||
+ GA(UL)Jeanty: | 3.68 cm | 24w3d | (21w1d - 27w1d) | |
+ GA(TL)Jeanty: | 3.70 cm | 24w0d | (21w0d - 26w6d) | |
- GA(FL) NTUH: | 4.11 cm | 25w0d | ||
- GA(BPD) NTUH: | 5.65 cm | 24w0d | ||
- GA(AC) NTUH: | 20.9 cm | 27w4d |
Ratios
|
AFI
Used In Calc | 1 | 2 | 3 | 4 | 5 |
AFI: | 15.7 cm | ||||||
QUAD1: | 3.15 cm | 3.15 | |||||
QUAD2: | 4.99 cm | 4.99 | |||||
QUAD3: | 4.48 cm | 4.48 | |||||
QUAD4: | 3.08 cm | 3.08 |
Basic Measurements
Used In Calc | 1 | 2 | 3 | 4 | 5 |
BPD: | 5.65 cm | 5.65 | |||||
HC traced: | 22.0 cm | 22.0 | |||||
AC traced: | 20.9 cm | 20.9 | |||||
FL: | 4.11 cm | 4.11 |
Cranium Measurements
Used In Calc | 1 | 2 | 3 | 4 | 5 |
OFD: | 7.70 cm | 7.70 |
Long Bone Measurements
Used In Calc | 1 | 2 | 3 | 4 | 5 |
HL: | 3.84 cm | 3.84 | |||||
RL: | 3.29 cm | 3.29 | |||||
UL: | 3.68 cm | 3.68 | |||||
TL: | 3.70 cm | 3.70 | |||||
FIB: | 3.70 cm | 3.70 |
Calculations
|
Doppler Measurements & Calculations
|
之前老公老覺得三總的超音波師照得很不專業
這次給蘇醫師幫寶貝做過總檢查確定一切都正常老公總算放心了
(不知道性別翻盤這件事是否間接證明了老公說那超音波師很兩光這句話XD)
留言
張貼留言